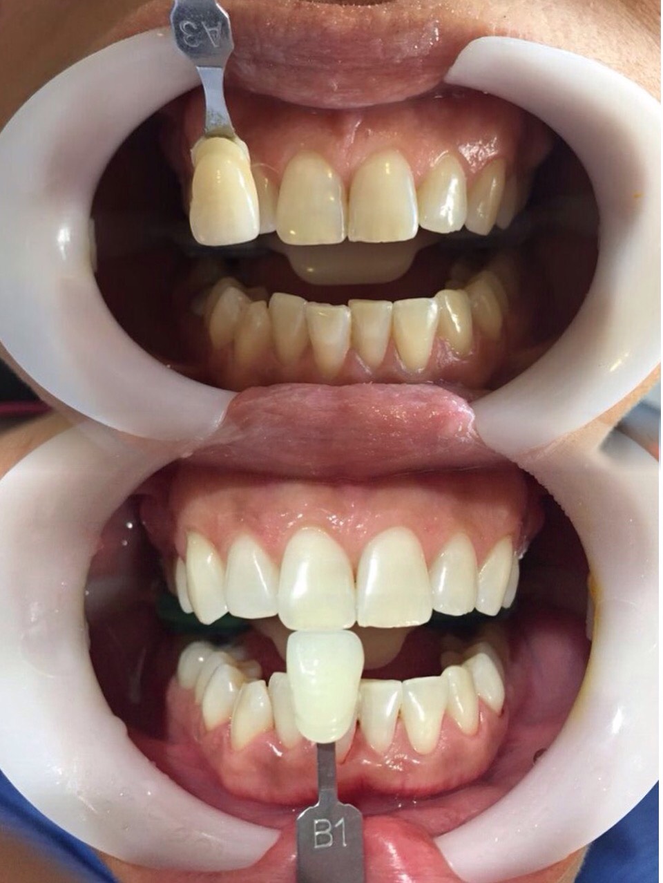
É dos tratamentos dentários de carácter estético mais frequentemente realizados no consultório dentário.
O objetivo é melhorar a estética tornando os dentes mais claros através da remoção de pigmentos extrínsecos e intrínsecos do esmalte e da dentina (camada a seguir ao esmalte).
É um tratamento não invasivo e seguro quando realizado pelo médico dentista. O gel branqueador não provoca alterações na estrutura do esmalte dentário.

Caso realizado por Dr.ª Elane Nery.
(Observação: os resultados alcançados dependem dos factores originários da alteração de cor e de cada paciente.)
