Na Clínica Nery do Vale procuramos, diariamente, melhorar a experiência dos nossos pacientes. O nosso objetivo vai muito para além do tratamento em si: queremos criar um ambiente sereno e acolhedor, capaz de contrariar a imagem intimidatória frequentemente associada à medicina dentária. Parte desse compromisso passa por apostar em equipamentos de última geração e técnicas que realmente fazem a diferença.

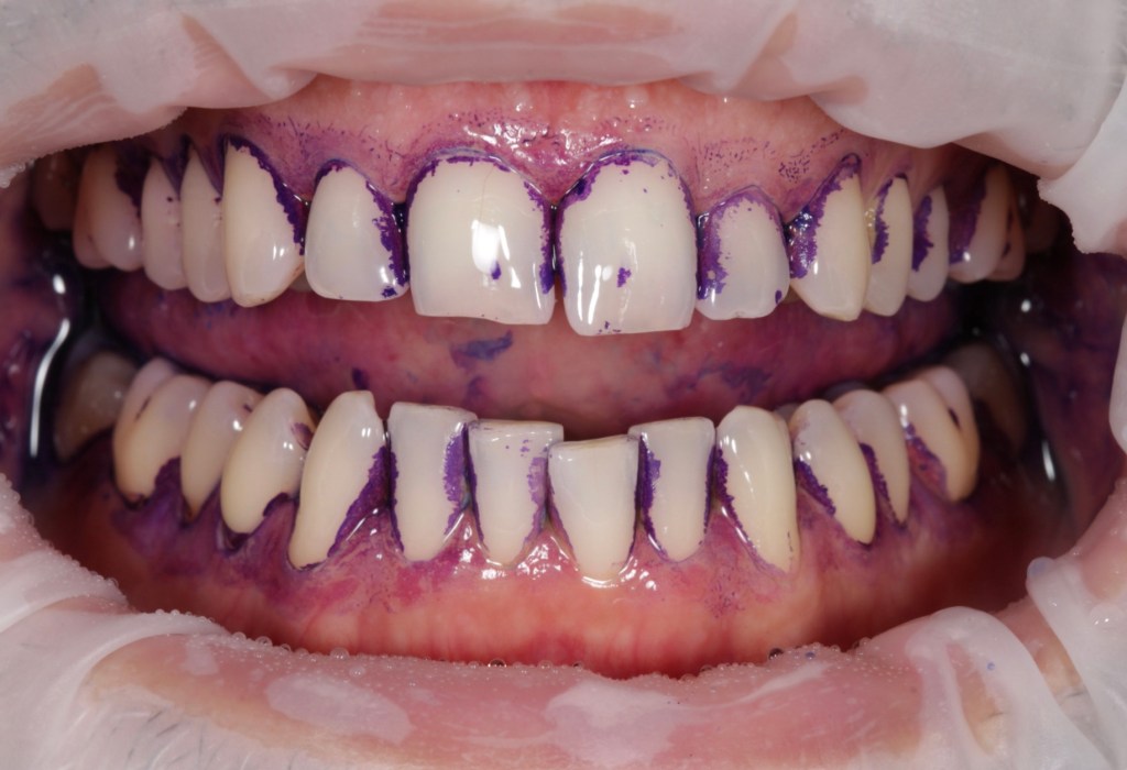
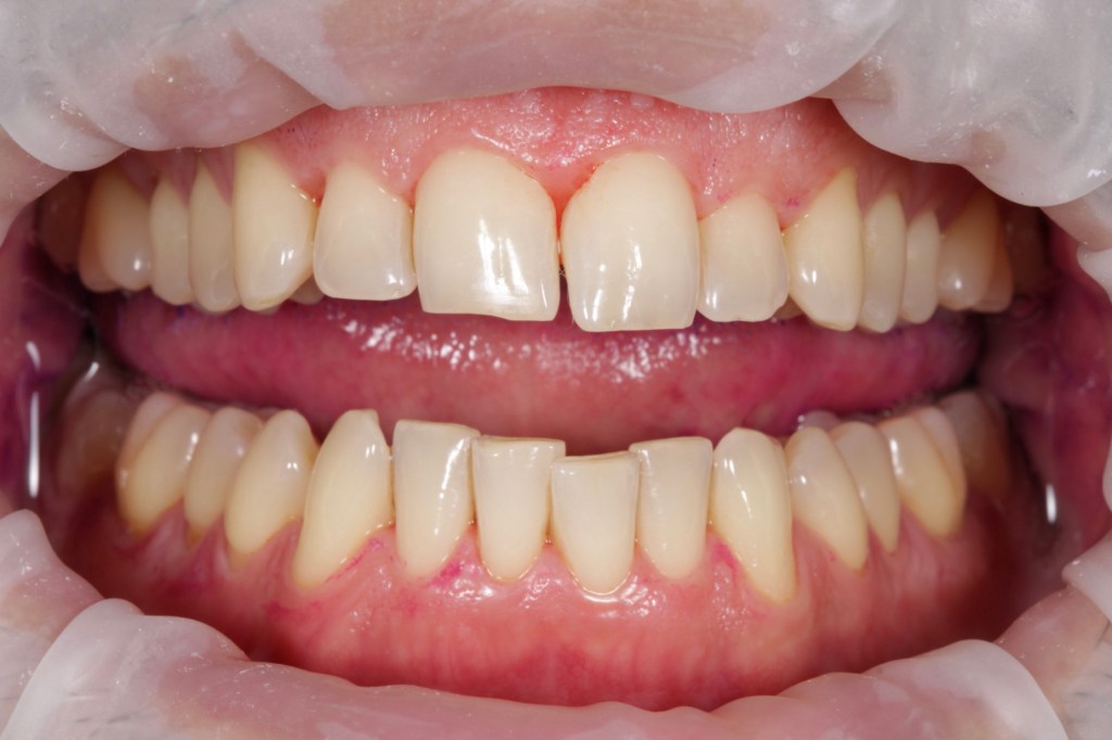
Recentemente, adquirimos um aparelho de tecnologia suíça de ponta, desenvolvido para a higienização oral através do protocolo GBT – Guided Biofilm Therapy (Terapia Guiada pelo Biofilme). Este protocolo utiliza os sistemas AIRFLOW®, PERIOFLOW® e PIEZON®, que removem eficazmente o biofilme, a placa bacteriana e o tártaro, mesmo em áreas de difícil acesso, preservando a integridade da estrutura dentária.

Contudo, não basta apenas dispor do melhor equipamento: a técnica do profissional é determinante para que o procedimento seja realmente eficaz e indolor. É esta combinação -tecnologia avançada e competência clínica- que permite transformar uma sessão de higiene oral numa experiência confortável, sem os desconfortos que lhe são habitualmente associados, como sensibilidade, vibração, sabor desagradável ou ruído excessivo.
O GBT é um tratamento personalizado, ajustado às necessidades de cada paciente, que para além de promover uma experiência mais suave e tranquila, contribui de forma significativa para a manutenção da saúde oral a longo prazo.




Na Clínica Nery do Vale acreditamos que inovação tecnológica só tem valor quando está aliada à técnica e ao cuidado humano -e é isso o que procuramos oferecer em cada atendimento.

